

Recientemente, hemos estado experimentando algunos problemas nuevos con nuestras vaquillas de reemplazo. Esta primavera, en un grupo de 75 vaquillas Holstein que pesaban entre 160 y 180 kg, atendimos más casos de diarrea que en años anteriores. La situación empeoró hace unas semanas cuando tres animales murieron y otros dos presentaron fiebre con 39.5ºC, requiriendo atención veterinaria. ¿Debemos preocuparnos por esta nueva forma de enfermedad?
Wisconsin S.A.
Gracias por su pregunta. Este caso fue evaluado por Andrea Pohly, D.V.M. que es especialista en patología en el Laboratorio de diagnóstico de la Universidad de Wisconsin y ella enumeró algunos hallazgos importantes.
Cuando se presenta una enfermedad nueva o fallan los protocolos de tratamiento, es un momento excelente para preguntar sobre protocolos de manejo de salud. El envío de muestras para diagnóstico es crucial, para asegurarse de que el patógeno o problema subyacente no haya cambiado y que se revisen los protocolos de tratamiento.
La respuesta específica para su pregunta es no. No estamos viendo patógenos nuevos en los especímenes recibidos en el laboratorio. Sin embargo, hemos estado observando cambios en el “cuándo” y “cómo” se presenta la diarrea. Los patrones de clima cambiantes han cambiado las temporadas pico de emergencia de parásitos, virus y bacterias, y cada vez más observamos co-infecciones que involucran muchos microbios.
Las co-infecciones ocurren cuando dos o más patógenos intervienen juntos para causar mayor inflamación o enfermedad. Ejemplos de esto son la fiebre de embarque y la neumonía enzóotica en becerras donde las infecciones virales primarias y la inmunosupresión causada por el estrés, vuelven a los animales más susceptibles a neumonías bacterianas secundarias, produciendo inflamación grave y signos clínicos de enfermedad. Las co-infecciones pueden ser difíciles de diagnosticar y comprenderse por completo, debido a la naturaleza compleja de la respuesta inmune y a cómo los microbios se reproducen en ambientes diferentes.
El manejo de problemas como este requiere una comprensión profunda del proceso de enfermedad, combinado con el envío de muestras de alta calidad al laboratorio de diagnóstico para mejorar los resultados del tratamiento. Es esencial trabajar de cerca con su veterinario del hato para determinar el momento en que los animales muestran los primeros signos de enfermedad y conocer la forma correcta de tomar una muestra. La toma de muestras demasiado tarde en el curso de la enfermedad o si son de calidad deficiente, puede representar una pérdida de tiempo y dinero.
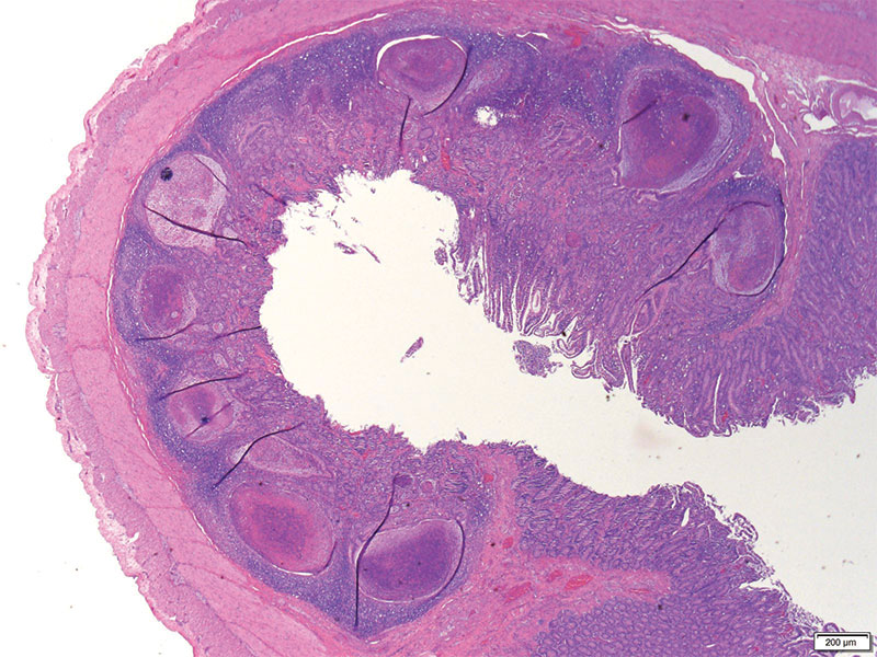
En este caso en particular, nos enviaron muestras de heces y de la necropsia, con un historial completo y signos clínicos. Los hallazgos de Pohly, basados en pruebas de reacción de polimerasa en cadena (PCR), cultivos y análisis microscópico, revelaron lesiones causadas por Yersinia en el intestino. Yersinia es una bacteria normal en el intestino bovino y se incrementa como infección secundaria. También pueden ocurrir co-infecciones con patógenos como coccidios intestinales y Giardia, que se encontraron en un número alto en las muestras enviadas. Resultó interesante que las lesiones de Yersinia se parecen a las del virus de la diarrea viral bovina, aunque con diferencias sutiles. Por lo tanto, realizar un análisis para descartar ese virus es crucial, porque generalmente está ausente del intestino bovino. Con estos hallazgos, el veterinario del hato pudo trabajar con el productor, para optimizar tratamiento, prevención y manejo ambiental, disminuyendo la exposición a coccidios y Giardia, mejorando así la salud del hato.

PARA TENER LA INFORMACIÓN MÁS ACTUALIZADA, SUSCRIBETE A NUESTRO BOLETÍN, ES GRATIS